CASTELLETTO SOPRA TICINO (NO) – Nel settore odontoiatrico, la ricerca dell’armonia estetica è diventata un processo di alta precisione che fonde ingegneria dei materiali e biologia. Lo Studio Odontobi, operante nella provincia di Novara, si distingue per un approccio che pone la salute strutturale al centro di ogni trasformazione estetica. L’adozione di flussi di lavoro digitali avanzati consente oggi di pianificare ogni intervento con un’accuratezza millimetrica, consentendo una pianificazione clinica più accurata sulla base dei dati raccolti nel rispetto dei principi di conservazione dei tessuti, ove clinicamente possibile.
In questo scenario, l’obiettivo è integrare gli approcci clinici tradizionali con metodiche aggiornate per approdare a riabilitazioni che riflettano l’unicità biologica e l’armonia di ogni singolo paziente. Parliamo con Fabio Andrian, esperto in metodiche restaurative presso lo Studio, per approfondire l’evoluzione delle metodiche restaurative.

DOTT. ANDRIAN, QUAL È LA FILOSOFIA DELLO STUDIO ODONTOBI RIGUARDO ALL’ESTETICA DEL SORRISO?
“La nostra visione si basa sul concetto di integrazione biomimetica: la disciplina scientifica finalizzata a replicare le proprietà biomeccaniche e ottiche dei tessuti naturali attraverso l’integrazione di materiali restaurativi avanzati. Non ci limitiamo a migliorare l’aspetto visivo, ma miriamo a replicare le proprietà meccaniche e ottiche del dente naturale.
Presso lo Studio Odontobi, ogni piano di trattamento è personalizzato: l’obiettivo non è un canone estetico standardizzato, ma il ripristino di un’armonia funzionale che risulti assolutamente indistinguibile dai tessuti originali. Questo percorso si fonda su una fase diagnostica accurata, volta ad analizzare le variabili biologiche e occlusali del singolo paziente.
La salute dei tessuti di supporto e il mantenimento dell’integrità strutturale rappresentano, infatti, i prerequisiti clinici essenziali per favorire la stabilità dell’intervento nel tempo, fermo restando che la durata dipende da molteplici fattori individuali e comportamentali .”
PER I PAZIENTI QUALI TECNOLOGIE DIGITALI METTETE A DISPOSIZIONE?
“Utilizziamo scanner intraorali per l’acquisizione delle impronte e software di progettazione CAD/CAM che permettono di elaborare un progetto virtuale. Questo passaggio è fondamentale: il paziente può visualizzare la simulazione clinica prima di iniziare, consentendo al paziente di comprendere in modo più chiaro le possibili opzioni terapeutiche e gli obiettivi realistici del trattamento . L’elevata accuratezza del dato digitale consente inoltre di ottimizzare l’adattamento marginale dei manufatti, riducendo l’invasività delle procedure e minimizzando i tempi di attesa. Tale approccio trasforma la pianificazione in un processo basato su evidenze oggettive, volto a migliorare la precisione operativa e la stabilità biomeccanica compatibile con la corretta esecuzione clinica e la manutenzione nel tempo.”
SI PARLA MOLTO DI PROCEDURE “BIOCONSERVATIVE”. COSA SIGNIFICA TECNICAMENTE PER IL PAZIENTE?
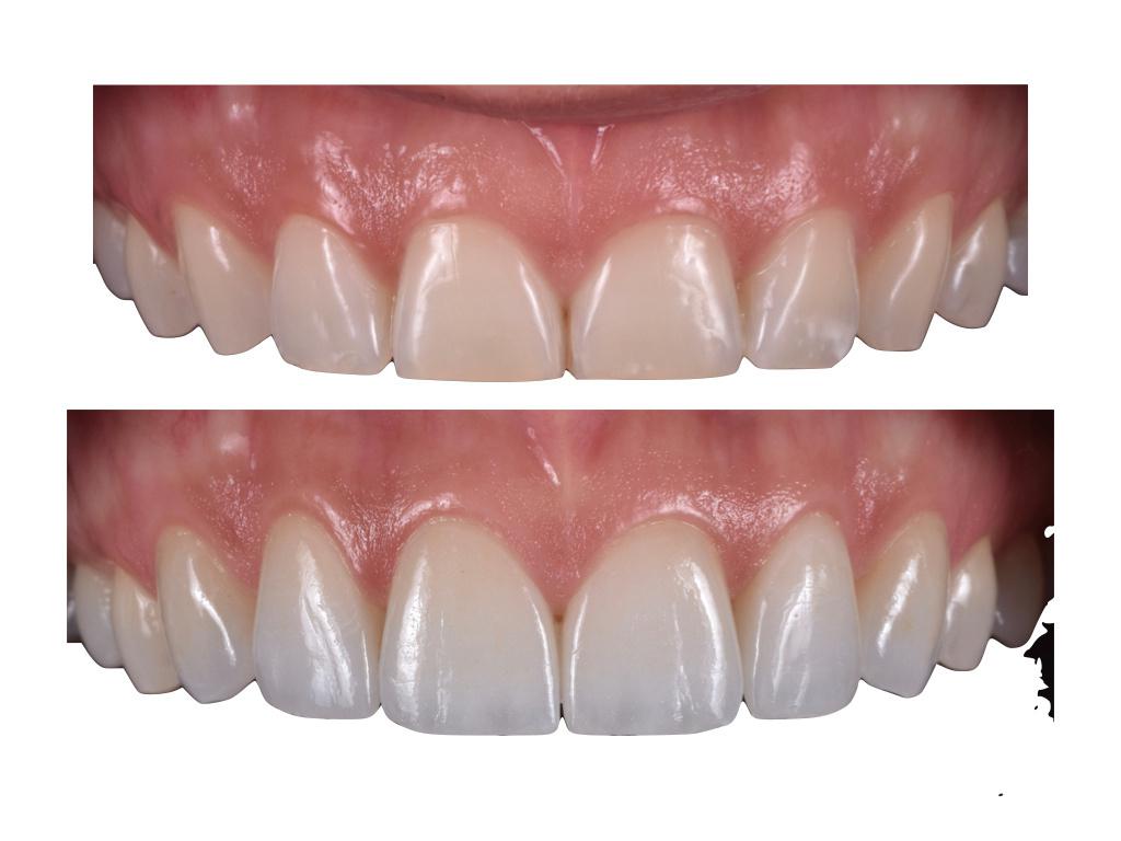
“Significa operare secondo una logica additiva piuttosto che sottrattiva. Grazie all’evoluzione delle ceramiche integrali e dei sistemi di adesione smalto- dentinale, oggi possiamo applicare faccette ultrasottili limitando l’asportazione di tessuto dentale sano nei casi in cui le condizioni cliniche lo consentano. È un approccio etico che tutela il patrimonio biologico del paziente, offrendo buone caratteristiche di stabilità cromatica e strutturale, nel rispetto delle indicazioni cliniche. Questo protocollo clinico permette di minimizzare l’asportazione di tessuto sano, contribuendo a ridurre il rischiodi insulti pulpari e garantendo una distribuzione degli stress meccanici più simile a quella del dente integro. La scelta di materiali biocompatibili e tecniche micro-invasive rappresenta dunque un approccio orientato alla conservazione biologica dell’elemento dentario, ben oltre il solo ripristino morfologico.”

QUALI SONO I MATERIALI D’ELEZIONE UTILIZZATI NELLO STUDIO PER GARANTIRE DURABILITÀ E NATURALEZZA?
“Utilizziamo prevalentemente ceramiche feldspatiche e disilicato di litio, materiali che vantano un indice di rifrazione della luce analogo a quello dello smalto.
Questi materiali presentano una eccellente stabilità cromatica nel tempo e, se correttamente manutenuti, offrono una resistenza biomeccanica ai carichi masticatori che li rende ideali per le riabilitazioni ad alto valore estetico. L’elevata biocompatibilità di questi substrati favorisce inoltre una risposta ottimale dei tessuti parodontali circostanti, favorendo condizioni di igiene ottimali in associazione a una corretta manutenzione domiciliare e professionale lungo i margini del restauro. L’integrazione di protocolli di cementazione adesiva avanzata è finalizzata a favorire, infine, un’unione strutturale stabile tra il manufatto e il tessuto dentale, preservando la vitalità dell’elemento nel tempo con l’obiettivo di mantenere una funzionalità adeguata nel tempo.”
QUAL È IL PRIMO PASSO PER CHI DESIDERA MIGLIORARE IL PROPRIO SORRISO PRESSO ODONTOBI?
“Il punto di partenza è sempre una diagnosi clinica integrata. Prima di intervenire sull’estetica, verifichiamo la salute dei tessuti parodontali e la corretta occlusione. Un sorriso armonico può esistere solo in una bocca sana. Per questo motivo, è possibile prenotare una consulenza conoscitiva, dove analizziamo non solo l’estetica, ma l’intero equilibrio stomatognatico. Questo approccio metodologico consente di inquadrare ogni esigenza individuale all’interno di un protocollo clinico rigoroso, volto a valutare e, se necessario, ripristinare la corretta funzione masticatoria prima di ogni finalizzazione estetica. Attraverso l’acquisizione di record digitali e clinici accurati, definiamo un percorso terapeutico razionale che mette al centro la stabilità biologica e la longevità dei risultati.”








